设为首页
热点推荐:
媒体支持
人民网、新华网、中新网、中国网、央视网、环球网、央广网、光明网、凤凰网、新浪网、搜狐网、中国政府网、中国新闻网...
活动流程
中国卫生健康网是经国家工信部门批准备案(备案号:19026317号-1)的信息服务平台,于2010年在国家卫生健康行业相关部门和领导的支持指导下创办,前身是卫生部卫生经济研究所下属行业网站。研究所于1991年经国家编委批准成立,是隶属于卫生部的国家级研究机构,是国家级技术咨询和智囊机构。后行政机关脱钩改革后网站独立运营,多年来始终致力于... 更多详情
评选标准
调查活动组委会
新闻中心您所在的位置是:首页 >> 新闻中心
生死守护显仁心 医患情深暖人心——同济大学附属同济医院心血管内科团队全力救治心梗患者获家属盛赞[ 2026-4-22] 作者:中国卫生健康网 字号:() () 阅读量:1784

近日,同济医院收到一封情真意切的感谢信,写信人是心血管内科患者王明(化名)的家属。信中,家属以质朴的文字,详细讲述了78岁的父亲从突发重症、生命垂危到顺利出院的全过程,字里行间满是对刘学波、来晏、严文文医生及全体参与救治医护人员的感激之情,深情诠释了“医者仁心”与“不放弃”的救治信念。

时间回溯至2026年1月4日,对王明全家而言,这是一个刻骨铭心的日子。当日,78岁的王先生因广泛前壁心肌梗死,突发急性左心衰,加之其本身患有糖尿病,病情异常凶险、生命垂危,家属惊惶失措之下,紧急将其送同济医院急救。

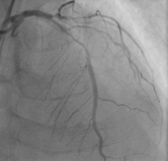
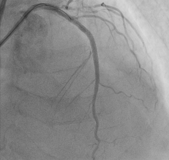
时间就是生命,每一分每一秒都关乎患者安危。抵达医院后,心血管内科在刘学波主任的指挥下迅速响应,医护人员第一时间投入到紧急救治工作中。王明的治疗难度极大,因多年患有糖尿病,心脏三根主要血管均存在重度弥散性钙化病变,外周血管状况也差,且肾功能不全、贫血。经过纠正心衰治疗病情相对稳定后,1月13日,在前期充分的药物治疗基础上,刘学波、来晏、姚义安、钱军等医生对患者行冠脉造影术,提示心脏三根冠脉均存在重度狭窄。其中最重要的左前降支为重度钙化病变,并且术中患者血压偏低,医护人员当机立断,为患者植入主动脉内球囊反搏(iabp),针对严重钙化的血管,来晏主任医师精准运用冠脉内冲击波碎石术(震波球囊)等专业技术破解治疗难题,成功在左前降支植入支架,有效疏通狭窄血管,手术全程顺利,为患者生命安全奠定坚实基础。

支架术前

支架术后

然而治疗过程并非一帆风顺,1月16日,患者突发iii度房室传导阻滞,心脏骤停,医护团队不顾疲惫,有序实施床边抢救并启动应急处置,植入临时起搏器并复查冠脉情况,及时化解危机。王明的病情颇为棘手,为排除其他原因导致的心衰、肾衰以及贫血,启动了mdt(多学科)会诊,召集肾脏内科、血液内科、内分泌代谢科、风湿免疫科、心脏康复科、医学影像科等多个科室的专家共同研讨,排除心肌淀粉样变等疾病,并不断调整治疗方案,为患者的救治提供了安全保障。

医护团队的敬业与坚守,让家属倍感温暖与敬佩。从紧急救治到术后观察,医生们始终细致监测患者病情,用通俗易懂的语言讲解病情和治疗方案,用温和的话语安抚家属焦虑情绪,用专业技术守护患者生命。刘学波提到:“以病人为中心,规范诊治是我们的科室文化,我们要求医护人员不仅要有技术,也要有人文关怀。”这种有温度的医疗服务不仅缓解了患者的病痛,更拉近了医患之间的距离,践行了“温暖在同济”的理念。

王先生在ccu足足接受了一个月的重症监护与治疗,如此长的ccu住院时间在临床中较为少见,足以看出其病情的复杂性与救治的艰难性。谈及救治成功的关键,除了精准运用冠脉内冲击波碎石术、iabp等心血管内科成熟的介入治疗技术作为支撑,还有mdt多学科会诊的群策群力,最核心的还是医生们“不放弃”的信念。严文文表示:“当患者的病情未能沿着预期的轨迹前行,我们更应严密监测生命体征,不放过任何蛛丝马迹。只要还有一线希望,我们便会倾尽全力,为患者争取生的可能。”正是这份敬业与坚守,成功将患者从生死边缘拉回,使患者在过年前顺利出院,与家人团圆。

一封感谢信,承载着一份沉甸甸的信任与感激,更是对医护人员工作的最高肯定。刘学波、来晏、严文文三位医生及心血管内科全体医护人员,用精准的专业技术、“不放弃”的坚定信念,诠释了“医者仁心”的深刻内涵。未来,同济医院将始终坚持以患者为中心,注重多学科协作,不断提升复杂病症诊疗水平,用专业与温度为群众的生命健康保驾护航。(采集:王艳东、卢秋月  编辑:卫晓健  来源:上观新闻)

 

 

 

 



给我点赞